VIP会员
|
我的错题库
放射医学(中级)[代码:344]
题库首页
>
主治医师(中级)
>
放射医学(中级)[代码:344]
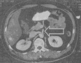
箭头所指的解剖结构是
A、肠系膜上动脉
B、肠系膜上静脉
C、脾静脉
D、脾动脉
E、门静脉
正确答案:
A
答案解析:
有
进入题库查看解析
微信扫一扫手机做题
最新试题
·
东汉名医华佗医技高明,朝廷曾多次召他进宫
·
医学伦理难题的发生,从最终意义上看,是由
·
内乳动脉栓塞术
·
肝脓肿介入治疗的注意事项不包括的是
·
下列药物中具有给药时机依赖性,血药浓度达
·
下丘脑属于
·
无水乙醇的特点是
·
单层螺旋CT在硬件方面的重要改进是
·
我国提出建立医院伦理委员会的主张是哪一年
·
手术难以切除,经栓塞治疗后病情改善,肿瘤
热门试题
·
不能显示跟骨影像的摄影体位是
·
关于膝关节描述正确的是
·
有关高千伏摄影,下列说法不正确的是(
·
照片上相邻两点间的密度差称为
·
幼儿胸部正位摄片,中心线经
·
CT图像的质量参数不包括( )。
·
某病人将参加一种高血压药物的临床实验,在
·
下列X线特性中是放射治疗的基础,也是进行
·
关于纵向弛豫的描述,正确的是
·
消除呼吸运动模糊正确的方法是