多做题,通过考试没问题!
放射医学(正高)[035]
题库首页
>
主任医师(正高)
>
放射医学(正高)[035]
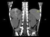
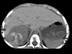
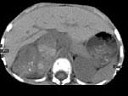
男孩,5岁。消瘦、贫血、纳差和腹部包块3个月余, CT如图所示,下列说法正确的是
A、右侧腹腔内可见一巨大软组织肿块影,其边界欠清楚
B、肿块密度不均匀,可见片状的较高密度,考虑为出血,也可见点状的钙化影
C、该病灶来源于肝脏,考虑为肝母细胞瘤
D、该病灶来源于右肾上腺,考虑为神经母细胞瘤
E、该病灶来源于右肾,考虑为肾胚胎瘤
查看答案
微信扫一扫手机做题
最新试题
·
关于神经母细胞瘤的说法,下列哪些是正确的
·
关于肾母细胞瘤,正确的说法是A、是小儿最
·
1、应该考虑到什么疾病2、若MRI图像如
·
男孩,5岁。消瘦、贫血、纳差和腹部包块3
热门试题